Gracias a sus sondas músculo esqueléticas de alta definición podemos detectar problemas articulares, de cartílagos y tendones con facilidad, así como utilizar los protocolos de medida para determinar la magnitud de la lesión y realizar tratamientos dirigidos con su guía de biopsia.
Si quieres solicitar una prueba con el equipo Exapad, ¡ponte en contacto con nosotros!
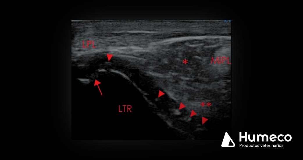
La osteocondrosis disecante de la articulación de la rodilla (OCD)
La ecografía puede proporcionar información útil sobre la osteocondrosis disecante (OCD) de la articulación fermoropatelar, y puede ser más sensible que la radiografía para la identificación de algunas lesiones.
El cartílago articular normal es anecoico (negro) y regular, mientras que el cartílago afectado suele verse heterogéneo en ecografía, y puede contener regiones más fuertemente ecoicas (puntas de flecha, imagen 1,2).
El hueso subcondral subyacente puede ser irregular (flecha, imagen 1).
.jpg)
Imagen 1: Imagen transversal de la cresta troclear lateral (LTR) del fémur de un caballo Warmblood con OCD fermoropatelar. La parte lateral está a la derecha de la imagen. LPL = ligamento rotuliano lateral; MiPL = ligamento rotuliano medio, *= regiones moderadamente hiperecoicas dentro del cartílago articular, consistentes con OCD.
Imagen 2: Imagen longitudinal de la cresta troclear lateral (LTR) del fémur del mismo caballo que en la imagen 1. LPL= ligamento rotuliano lateral; puntas de flecha= regiones moderadamente hiperecoicas dentro del cartílago articular, consistentes con OCD.
Referencias bibliográficas
- Bourzac C., Alexander K., Rossier Y., Laverty S. (2009) Comparison of radiography and ultrasonography for the diagnosis od osteochondrosis dissecans in the equine femoropatellar joint. Equine Veterinary Journal 41: 686-692.
- Cauvin E.R.J., Smith R.K.W. (2019) Ultrasonography of the stifle. UK-Vet Equine 3: 86-92.
Fractura del tubérculo coxal del íleon
Este caballo tenía un historial de traumatismo cerrado en el tubérculo coxal izquierdo de varios meses antes.
La superficie ósea de la cara lateral de un tubérculo coxal normal puede parecer algo irregular, pero contigua, en la ecografía (Imagen 1, tuber coxal derecho).
Hay una pérdida de continuidad de la superficie de la cara caudal del tubérculo coxal izquierdo en múltiples localizaciones, consistente con una fractura conminuta (puntas de flecha, Imagen 2,3). Hay tejido fibroso organizado localizado superficialmente, adyacente al lugar de la fractura (*, Imagen 3).
.jpg)

Imagen 1: Imagen longitudinal de la cara caudal del tubérculo coxal derecho (normal). La parte proximal está a la izquierda.
Imagen 2: Imagen longitudinal de la cara caudal del tubérculo coxal izquierdo. La parte proximal está a la izquierda. Hay una alteración del contorno óseo en varios lugares (puntas de flecha).

Imagen 3: Imagen longitudinal de la cara caudal del tubérculo coxal izquierdo. La parte proximal está a la izquierda. Hay una alteración del contorno óseo (cabezas de flecha). *= tejido fibroso organizado.
ExaPad y ExaPad Mini son sistemas de ultrasonido que han sido diseñados, desarrollados y fabricados específicamente para el veterinario.
Si quieres concocer un poco más el equipo puedes ver el video en este enlace.











